Статья #5 | Советы "Иннова Клиник"
Онлайн запись

Статья #5

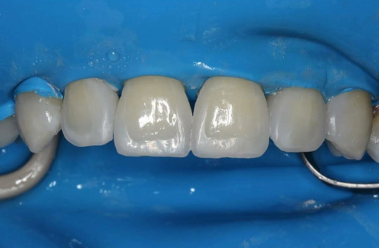
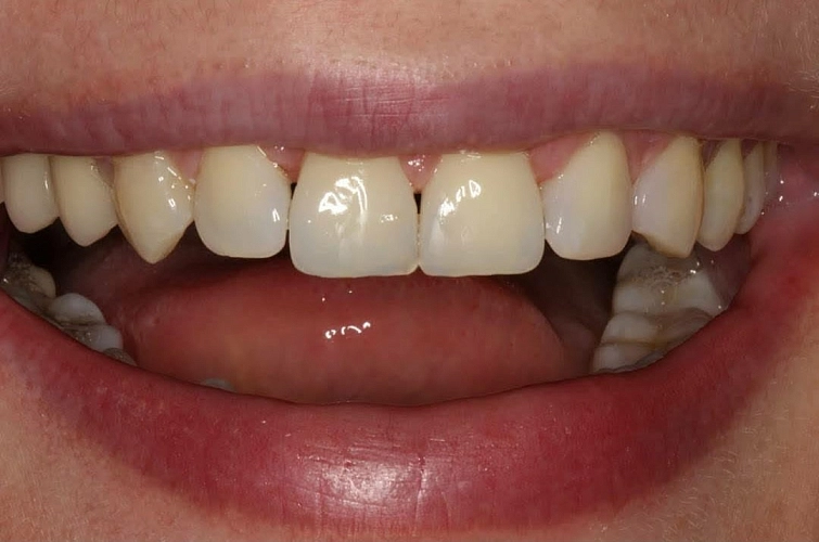
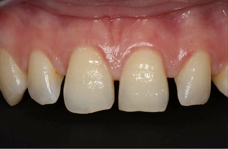
Пожелание пациента было закрыть "щели" между щубами без препарирования зубов. Щели называются тремы и диастемы. И в данном случае, вся реставрация проводилась без препарирования зубов, путем послойного нанесения композиционного материала разной степени прозрачности.

Просмотров: 230
Другие услуги
Консультация и диагностика
От 1000 Консультация и диагностика фото
Имплантация
От 32 500 Имплантация фото
Виниры
От 33 500 Виниры фото
Коронки
От 33 500 Коронки фото
Установка брекетов
От 45 000 Установка брекетов фото
Установка элайнеров
От 185 000 Установка элайнеров фото
Лечение зубов
От 4 000 Лечение зубов фото
Профессиональная гигиена
От 1900 Профессиональная гигиена фото