Статья #501 | Советы "Иннова Клиник"
Онлайн запись

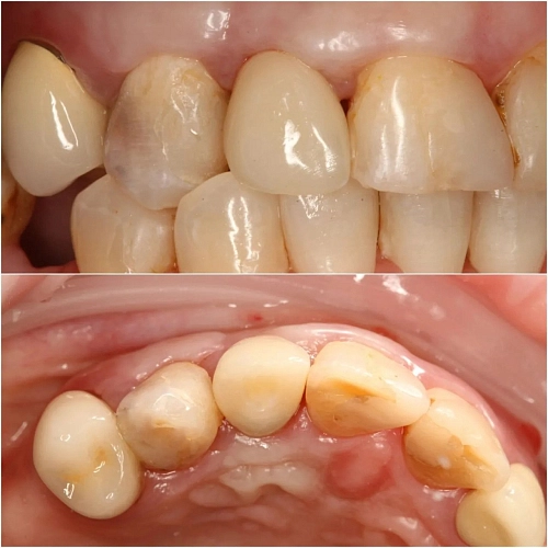
Статья #501

Можно ли установить имплант сразу после удаления зуба?

Да, этот способ называется одномоментная имплантация.

При одномоментной имплантации титановый имплантат помещают в лунку сразу после удаления зуба.

Всего один визит к врачу вмещает и удаление, и имплантацию, поэтому данную методику называют одномоментной.

Подробнее об одномоментной имплантации в нашем сегодняшнем клиническом случае.

На первом этапе удаляют зуб.

Для одномоментной имплантации очень важно, чтобы извлечение зуба прошло непосредственно перед установкой имплантата. Если зуб уже был удален, то придется ждать, пока лунка заживет, и костная ткань в ней восстановится. Извлекать зуб необходимо очень аккуратно, без дополнительного повреждения окружающей кости, иначе это может затруднить приживление.

На втором этапе происходит установка титанового имплантата в образовавшуюся лунку, которую врач при необходимости может заполнить костным материалом для дополнительной фиксации.

На установленный имплантат сразу фиксируют переходник-абатмент, а на него — временную пластмассовую коронку. Через пару месяцев, когда имплантат интегрируется с костью и сможет выдерживать полную нагрузку, остается установить постоянную коронку.

Хирург Федотов Руслан Валерьевич

Из основных преимуществ данного способа восстановления зубов можно выделить следующее:

существенно сокращается время лечения

десна вокруг коронки сразу же формируется правильно, что улучшает эстетику

быстрое заживление и восстановление

максимальное сохранение объема костной ткани

Записаться на консультацию можно по телефону +7(8352)70-97-91 либо напишите нам

#чебоксары #чувашия #йошкарола #канаш #чебоксарыновости #новочебоксарск #чебоксарымамы #имплантациязубовчебоксары #винирычебоксары

Просмотров: 175
Другие услуги
Консультация и диагностика
От 1000 Консультация и диагностика фото
Имплантация
От 32 500 Имплантация фото
Виниры
От 33 500 Виниры фото
Коронки
От 33 500 Коронки фото
Установка брекетов
От 45 000 Установка брекетов фото
Установка элайнеров
От 185 000 Установка элайнеров фото
Лечение зубов
От 4 000 Лечение зубов фото
Профессиональная гигиена
От 1900 Профессиональная гигиена фото