Статья #512 | Советы "Иннова Клиник"
Онлайн запись

Статья #512

Как понять, что пора на профессиональную гигиену полости рта

Профессиональную гигиену нужно проводить регулярно.

Периодичность должен определить лечащий врач.

Для большинства людей проводить процедуру рекомендуется каждые полгода.

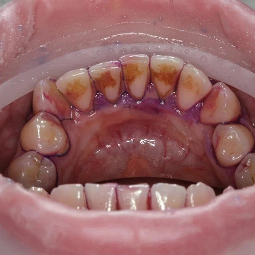
На необходимость профгигиены указывают:

кровоточивость десен любой степени, покраснение десневых сосочков, зуд и боль в деснах (все эти симптомы обусловлены отложением камня под десной)

ощущение шероховатости зубов и пломб

появление или усиление повышенной чувствительности зубов

наличие зубного камня, пигментированного налета на зубах

застревание пищи между зубами, невозможность продеть зубную нить

неприятный запах изо рта.

Помимо этого профгигиену рекомендуется проводить перед любыми хирургическими вмешательствами в полости рта (например, установкой имплантов), протезированием зубов и установкой брекет-систем.

Записаться на консультацию можно по телефону +7(8352) 70-97-91 либо напишите нам

#чебоксары #клиникачебоксары #лекардоклиник #мануальнаятерапиячебоксары #остеопатчебоксары #ортопедчебоксары #лечениесуставовчебоксары #хирургчебоксары #терапевтчебоксары

Просмотров: 292
Другие услуги
Консультация и диагностика
От 1000 Консультация и диагностика фото
Имплантация
От 32 500 Имплантация фото
Виниры
От 33 500 Виниры фото
Коронки
От 33 500 Коронки фото
Установка брекетов
От 45 000 Установка брекетов фото
Установка элайнеров
От 185 000 Установка элайнеров фото
Лечение зубов
От 4 000 Лечение зубов фото
Профессиональная гигиена
От 1900 Профессиональная гигиена фото