Статья #518 | Советы "Иннова Клиник"
Онлайн запись

Статья #518

Когда устанавливать имплант после удаления зуба

Проводить имплантацию можно:

сразу после удаления;

после заживления раны;

через длительный период времени.

Но! Принимает подобные решения врач-хирург после обследования.

Возможные сроки установки импланта:

Современная стоматология проводит операции для восстановления зубов в любое время после удаления или потери зубов.

Через сколько можно устанавливать имплант?

Существуют следующие сроки установки конструкций:

Одномоментно – изделия устанавливают сразу после экстракции разрушенного корня в одно посещение;

Через 2-3 месяца – операцию проводят после заживления раны и восстановления костной ткани;

В отдаленный период времени – когда пациент давно потерял естественные зубы.

Все зависит от индивидуальных особенностей и результатов обследования пациента.

Рекомендуемый срок установки импланта после потери зуба - полгода, максимум год. Если пройдет больше времени, то могут возникнуть проблемы: атрофия костной ткани, и для того чтобы установить имплант понадобятся дополнительные процедуры (наращивание костной ткани и т.д.)

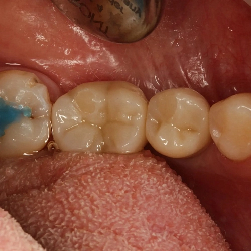
На фото работа хирурга - имплантолога Федотова Руслана Валерьевича и врача - ортопеда Винокур Анастасии Александровны

Записаться на консультацию можно по телефону +7(8352) 70-97-91 либо напишите нам

Просмотров: 215
Другие услуги
Консультация и диагностика
От 1000 Консультация и диагностика фото
Имплантация
От 32 500 Имплантация фото
Виниры
От 33 500 Виниры фото
Коронки
От 33 500 Коронки фото
Установка брекетов
От 45 000 Установка брекетов фото
Установка элайнеров
От 185 000 Установка элайнеров фото
Лечение зубов
От 4 000 Лечение зубов фото
Профессиональная гигиена
От 1900 Профессиональная гигиена фото