Статья #522 | Советы "Иннова Клиник"
Онлайн запись

Статья #522

Имплантация – современный, надёжный и эстетичный способ вернуть своей улыбке былую красоту.

Имплантаты соответствуют всем европейским стандартам, предсказуемого результата остеоинтеграции, герметичного соединения с абатментом и длительного срока службы .

Двухэтапная имплантация зубов в нашей клинике всегда проводится после предварительной гигиены полости рта.  Это позволит снизить риск осложнений и ускорить заживление.

Этапы имплантации зубов:

  Хирург аккуратно открывает десну и формирует ложе под имплантат

Врач размещает имплантат и крепит на него заглушку

Десна ушивается до полного приживления

Установка формирователя десны. Это необходимо для создания правильного десневого контура

Закрепление абатмента и фиксация временной коронки

Снятие слепка сканером в цифре

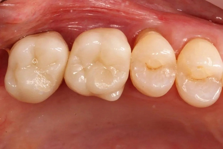
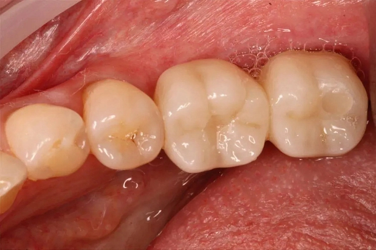
Завершающим этапом классической имплантации является протезирование. В зависимости от клинической ситуации это могут быть коронки из диоксида циркония, цельной керамики или металлокерамики.

На фото работа хирурга - имплантолога Федотова Руслана Валерьевича и врача - ортопеда Винокур Анастасии Александровны

Записаться на консультацию можно по телефону +7(8352) 70-97-91 либо напишите нам

#протезированиечебоксары #протезированиейошкарола #протезированиеканаш #имплантациязубовйошкарола #имплантациязубовканаш#винирычебоксары #имплантациязубовчебоксары #амазониячебоксары

Просмотров: 211
Другие услуги
Консультация и диагностика
От 1000 Консультация и диагностика фото
Имплантация
От 32 500 Имплантация фото
Виниры
От 33 500 Виниры фото
Коронки
От 33 500 Коронки фото
Установка брекетов
От 45 000 Установка брекетов фото
Установка элайнеров
От 185 000 Установка элайнеров фото
Лечение зубов
От 4 000 Лечение зубов фото
Профессиональная гигиена
От 1900 Профессиональная гигиена фото