Статья #539 | Советы "Иннова Клиник"
Онлайн запись

Статья #539

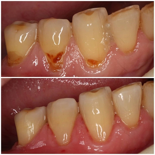
Пришеечная стираемость зубов.

Есть три основные причины которые могут вызывать пришеечный дефект.

Клиновидный дефект — это некариозное поражение, возникающее на твёрдых тканях зубов, характеризующееся образованием в области шейки зуба дефекта клиновидной формы.

Клиновидный дефект возникает в результате функциональной перегрузки зуба и механической абразии, которая усиливает крошение эмали.

Эрозия зубов – это разновидность некариозного поражения, характеризующаяся образованием дефектов эмали и дентина на вестибулярной поверхности зубов.

Возникает вследствие повышенной кислотности полости рта.

Пришеечный кариес – это бактериальное поражение дентина и эмали в придесневой зоне зуба.

Сложность ситуации заключается в том, что именно данный участок зуба имеет самый тонкий слой эмали и дентина, что увеличивает риск развития глубокого кариеса. При отсутствии лечения отмечается быстрое прогрессирование очага на корень зуба, который не всегда удаётся сохранить.

Возникает из-за недостаточной гигиены и недостаточной защитной функции слюны или эмали либо неправильной гигиены полости рта .

В любом случае при любой из вышеперечисленных патологий следует обратиться к стоматологу выявить причину и устранить этот дефект.

Записаться на консультацию можно по телефону +7 (8352) 70-97-91 либо напишите нам

#чебоксары #стоматологчебоксары #стоматологиячебоксары #винирычебоксары #имплантациязубовчебоксары #протезированиечебоксары #отбеливаниезубовчебоксары #увеличениегубчебоксары

Просмотров: 268
Другие услуги
Консультация и диагностика
От 1000 Консультация и диагностика фото
Имплантация
От 32 500 Имплантация фото
Виниры
От 33 500 Виниры фото
Коронки
От 33 500 Коронки фото
Установка брекетов
От 45 000 Установка брекетов фото
Установка элайнеров
От 185 000 Установка элайнеров фото
Лечение зубов
От 4 000 Лечение зубов фото
Профессиональная гигиена
От 1900 Профессиональная гигиена фото