Статья #564 | Советы "Иннова Клиник"
Онлайн запись

Статья #564

После ортодонтической коррекции может потребоваться восстановление стертой эмали и дентина для равномерности смыкания. Выполняется это при помощи:

Тотального восстановления композитными накладками

Тотального восстановления керамическими реставрациями

Иногда, при сохранности передней группы зубов восстанавливаются только жевательные зубы для того, чтобы была поддержка и стабилизация  смыкания.

Все это необходимо для того, чтобы зубы не потеряли своей правильной позиции и снова не разошлись.

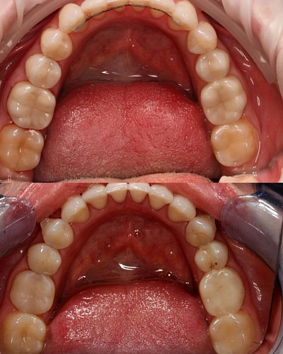
На фото представлен клинический случай.

Постортодонтическое восстановление деформированной поверхности жевательных зубов.

Работа врача - ортопеда Винокур Анастасии Александровны.

Записаться на консультацию можно по телефону +7(8352) 70-97-91 либо напишите нам

#чебоксары #чувашия #ортодонтчебоксары #ортодонтканаш #ортодонтйошкарола #брекетычебоксары #элайнерычебоксары #мамычебоксары #чебоксарырекомендует

Просмотров: 230
Другие услуги
Консультация и диагностика
От 1000 Консультация и диагностика фото
Имплантация
От 32 500 Имплантация фото
Виниры
От 33 500 Виниры фото
Коронки
От 33 500 Коронки фото
Установка брекетов
От 45 000 Установка брекетов фото
Установка элайнеров
От 185 000 Установка элайнеров фото
Лечение зубов
От 4 000 Лечение зубов фото
Профессиональная гигиена
От 1900 Профессиональная гигиена фото