Статья #576 | Советы "Иннова Клиник"
Онлайн запись

Статья #576

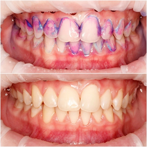
Профессиональная гигиена полости рта может спасти зубы от кариозного процесса.

Нельзя допускать скопления налета или зубного камня.

В домашних условиях НЕВОЗМОЖНО регулярно хорошо вычищать все участки зубов.

Но, это не означает, что можно не пользоваться щеткой и зубной нитью.

Наборот — нужно еще дисциплинированней выполнять все домашние процедуры + раз в 6 месяцев приходить в стоматологию для профессиональной гигиены полости рта и осмотра .

Напоминаем, что действует акция - профессиональная гигиена полости рта 2900 руб до конца года

А вы уже были на профессиональной гигиене полости рта? Как ощущения после процедуры?

#чебоксары #чистказубовчебоксары #чистказубовканаш #профгигиеназубовчебоксары #отбеливаниезубовчебоксары #zoom4чебоксары #стоматологчебоксары #чебоксарыстоматология

Просмотров: 200
Другие услуги
Консультация и диагностика
От 1000 Консультация и диагностика фото
Имплантация
От 32 500 Имплантация фото
Виниры
От 33 500 Виниры фото
Коронки
От 33 500 Коронки фото
Установка брекетов
От 45 000 Установка брекетов фото
Установка элайнеров
От 185 000 Установка элайнеров фото
Лечение зубов
От 4 000 Лечение зубов фото
Профессиональная гигиена
От 1900 Профессиональная гигиена фото