Статья #649 | Советы "Иннова Клиник"
Онлайн запись

Статья #649

Проблемы прикуса не всегда видны самому человеку, например, при прямом или глубоком прикусе зубы могут быть ровными, и улыбка выглядит в целом привлекательно. Но тем не менее, такой прикус может привести к ряду проблем, связанных с суставом,  повышенной стираемостью зубов, гипертонусом жевательных мышц и т.д.

И хотя лечение у ортодонта отодвинет день, когда можно будет провести протезирование, миновать этот этап нельзя.

Такое комплексное лечение принесет выгоду в будущем, так как в правильном прикусе проще сохранять здоровье зубов.

К примеру, коронка, которая будет установлена на имплант после приживления, должна находиться в правильном положении относительно остальных зубов, чтобы при смыкании не было на имплант повышенной нагрузки

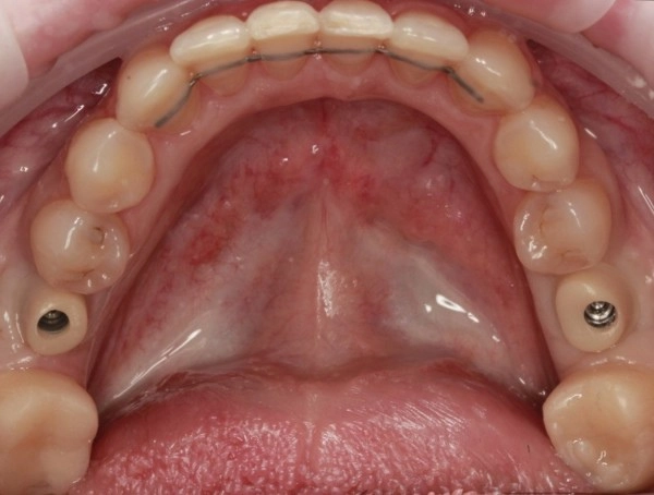
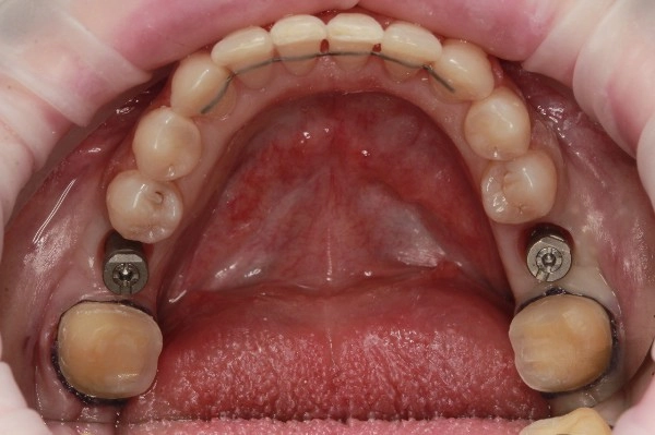
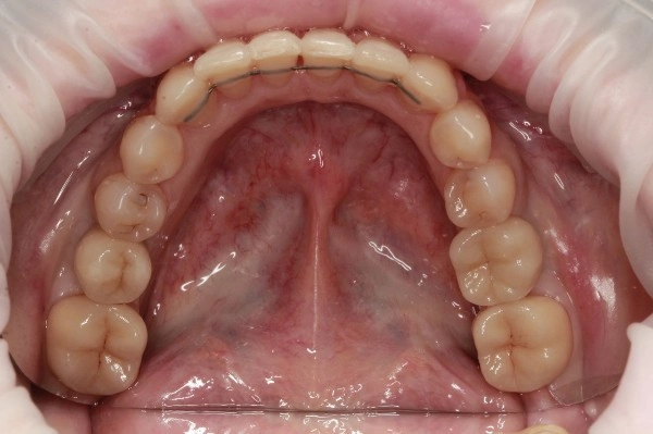
Клинический случай

Установлены 2 коронки на импланты с индивидуальным циркониевым абатментом. На задние сильно разрушенные жевательные зубы установлены керамические накладки.

Работа врача - ортодонта Глуховой Татьяны Александровны и врача - ортопеда Никитина Никиты Юрьевича.

Записаться на консультацию можно по телефону +7(8352) 70-97-91 либо напишите нам

Просмотров: 287
Другие услуги
Консультация и диагностика
От 1000 Консультация и диагностика фото
Имплантация
От 32 500 Имплантация фото
Виниры
От 33 500 Виниры фото
Коронки
От 33 500 Коронки фото
Установка брекетов
От 45 000 Установка брекетов фото
Установка элайнеров
От 185 000 Установка элайнеров фото
Лечение зубов
От 4 000 Лечение зубов фото
Профессиональная гигиена
От 1900 Профессиональная гигиена фото