Статья #683 | Советы "Иннова Клиник"
Онлайн запись

Статья #683

Возможности правильной ортодонтии безграничны.

Мезиальный прикус поддается профессиональной корректировке. Грамотный подход, современное оборудование и врачи смогут восстановить эстетический облик лица.

Пациенты с данной патологией имеют вогнутый профиль: нижняя часть лица увеличена в размерах из-за резко выступающего подбородка. Нижняя губа выглядит толще, чем верхняя, а также неправильно сомкнуты челюсти. Нижний зубной ряд выдвинут вперед.

Кроме внешних проявлении‌, деформация отражается на функциональных возможностях:

• нарушается речь;

• сложность откусывать и жевать еду;

• иногда развивается открытый или перекрестный прикус.

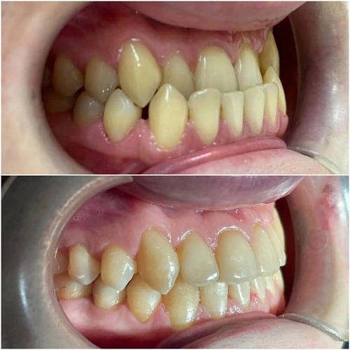
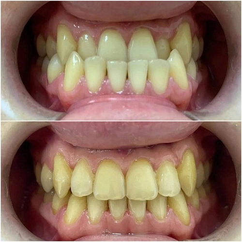
На фото клинический случай.

Срок лечения  1.5 года

Работа врача - ортодонта Волкова Романа Олеговича

Как вам результат?

Записаться на консультацию можно по телефону +7(8352) 70-97-91 либо напишите нам

Просмотров: 222
Другие услуги
Консультация и диагностика
От 1000 Консультация и диагностика фото
Имплантация
От 32 500 Имплантация фото
Виниры
От 33 500 Виниры фото
Коронки
От 33 500 Коронки фото
Установка брекетов
От 45 000 Установка брекетов фото
Установка элайнеров
От 185 000 Установка элайнеров фото
Лечение зубов
От 4 000 Лечение зубов фото
Профессиональная гигиена
От 1900 Профессиональная гигиена фото