Статья #7 | Советы "Иннова Клиник"
Онлайн запись

Статья #7

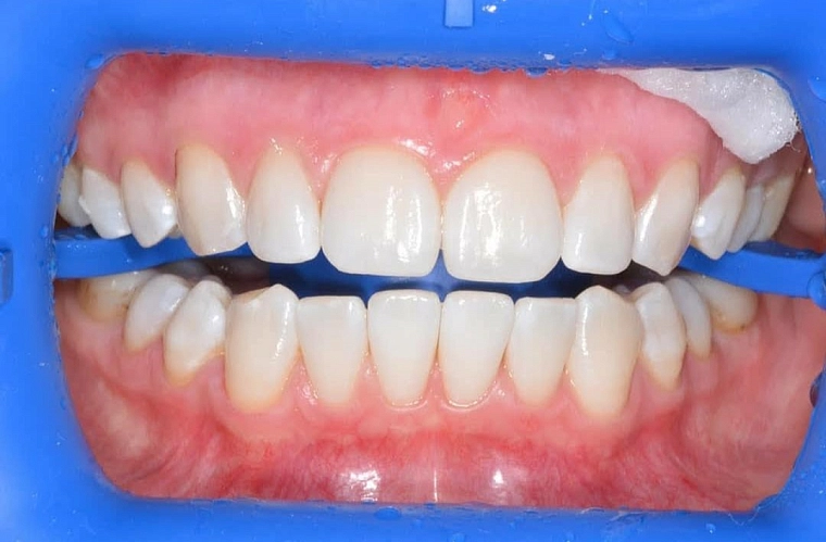
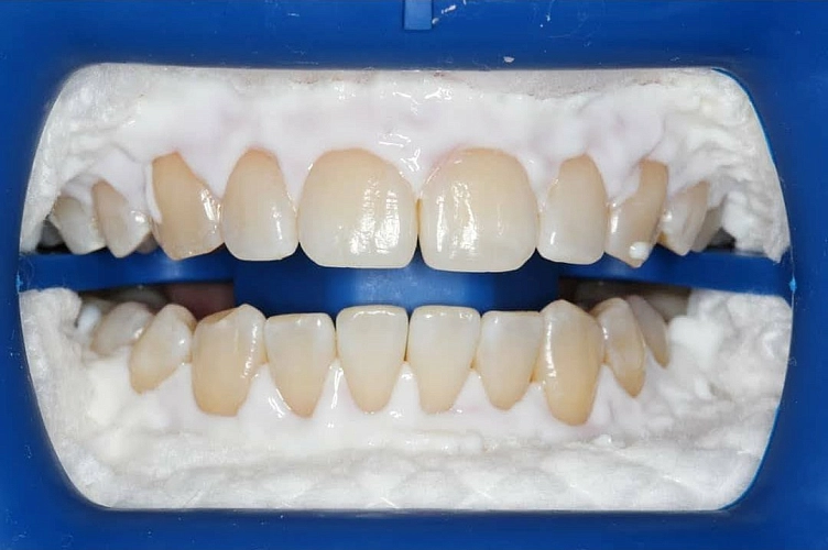
Почему стоимость процедуры отбеливания в разных клиниках может отличаться, от чего она зависит? Во-первых, от того, одноразово ли используют набор ZOOM (его можно разделить и на 2 процедуры), что даст не такой яркий эффект.Мы открываем набор при пациенте! Во-вторых, от квалификации и опыта работы врача, что играет большую роль. К примеру, могут быть ослабленные участки эмали,которые нужно обнаружить и закрыть. В-третьих, от вида лампы, которая усиливает эффект отбеливания. (Это может быть лапма без нагрева и с нагревом тканей, преимущество за лампой холодного света). Очень важно определить метод отбеливания и отсутствие противопоказаний для 100%ной безопасности процедуры.

Просмотров: 182
Другие услуги
Консультация и диагностика
От 1000 Консультация и диагностика фото
Имплантация
От 32 500 Имплантация фото
Виниры
От 33 500 Виниры фото
Коронки
От 33 500 Коронки фото
Установка брекетов
От 45 000 Установка брекетов фото
Установка элайнеров
От 185 000 Установка элайнеров фото
Лечение зубов
От 4 000 Лечение зубов фото
Профессиональная гигиена
От 1900 Профессиональная гигиена фото