Статья #71 | Советы "Иннова Клиник"
Онлайн запись

Статья #71

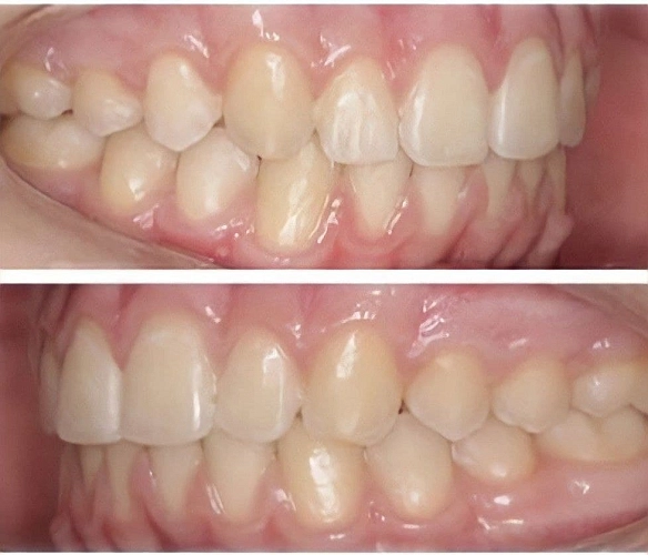
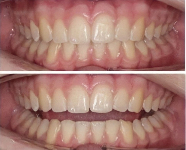
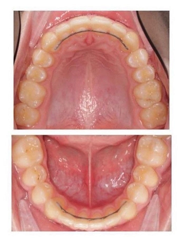
Ещё один счастливый пациент с идеальной улыбкой и правильным прикусом. Поддержите

Пациент обратился со скученностью зубов, неправильной осью и расположением зенитов коронок.

В ходе ортодонтического лечения после выравнивания прикуса была :

выровнена ось зубов,

выровнены зениты коронок (уровень шейки зуба)

проведена композитная реставрация для восстановления стёртой части эмали.

После ортодонтической коррекции установлены ретейнеры.

Работа Бахмисовой Инны Николаевны @inna_orthodont.

Записаться на консультацию можно по телефону +7(8352) 75-54-75 либо по ссылке в шапке профиля

Просмотров: 267
Другие услуги
Консультация и диагностика
От 1000 Консультация и диагностика фото
Имплантация
От 32 500 Имплантация фото
Виниры
От 33 500 Виниры фото
Коронки
От 33 500 Коронки фото
Установка брекетов
От 45 000 Установка брекетов фото
Установка элайнеров
От 185 000 Установка элайнеров фото
Лечение зубов
От 4 000 Лечение зубов фото
Профессиональная гигиена
От 1900 Профессиональная гигиена фото