Статья #801 | Советы "Иннова Клиник"
Онлайн запись

Статья #801

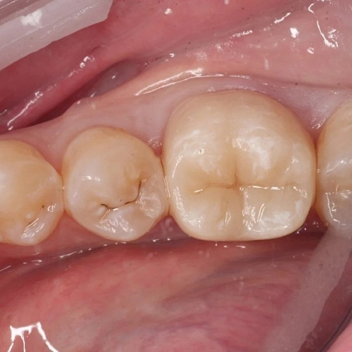
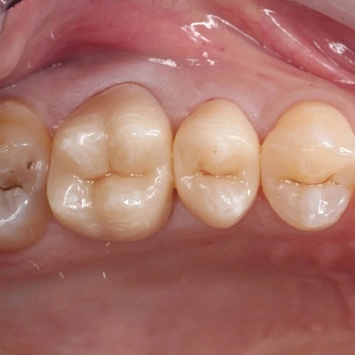
Необходимые этапы подготовки зуба под коронку️

Если зуб без нерва, каналы должны быть качественно запломбированы и идеально подготовлены миксроскопистом под коронку;

Слепки должны быть сняты максимально точно (мы снимаем оптические слепки с помощью цифрового сканера);

В лаборатории должна быть смоделирована коронка с уче‌том прикуса и правильных контактов(у нас для этого Cad/cam- системы цифрового моделирования);

Она должна быть зафиксирована надежной цементной системой с качественной изоляцией;

Она должна хорошо соответствовать цвету рядом стоящих зубов и быть анатомична

На фото работа врача стоматолога - ортопеда Никитина Никиты Юрьевича

Записаться на консультацию можно по телефону +7(8352) 70-97-91 либо напишите нам

Просмотров: 227
Другие услуги
Консультация и диагностика
От 1000 Консультация и диагностика фото
Имплантация
От 32 500 Имплантация фото
Виниры
От 33 500 Виниры фото
Коронки
От 33 500 Коронки фото
Установка брекетов
От 45 000 Установка брекетов фото
Установка элайнеров
От 185 000 Установка элайнеров фото
Лечение зубов
От 4 000 Лечение зубов фото
Профессиональная гигиена
От 1900 Профессиональная гигиена фото