Статья #812 | Советы "Иннова Клиник"
Онлайн запись

Статья #812

Без фтора не будет крепких зубов - это факт. Эмаль будет тонкой, безжизненной и открытой для кариеса.

Но есть и другая сторона - когда фтор поступает в повышенном количестве. ⠀

Парадоксально, но этот элемент вытесняет кальций! Со временем, участки, на которых скопился фтор, разрушаются, эрозивные поражения начинают затрагивать более глубокие слои, разрушая зубы. Этот процесс называется флюороз. ⠀

Причины его возникновения: ⠀

избыток фтористых соединений в воздухе;⠀

употребление с водой и пищей повышенного количества фтора и его соединений;⠀

повышенное содержание фтора в производственной среде.⠀

Как проявляется флюороз: ⠀⠀

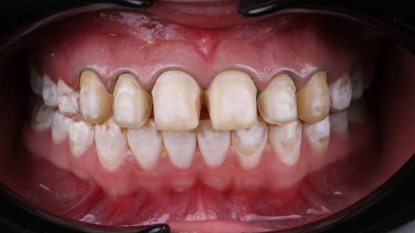
Зубная эмаль утрачивает блеск.⠀

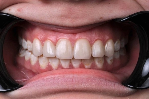
Появляются пятна и полоски, как правило, на передних резцах верхней челюсти. В зависимости от стадии течения болезни цвет колеблется от беловато-серого до коричневого.⠀

Зубы начинают болезненно реагировать на холодную и горячую пищу и жидкость.⠀

Зубы в местах пигментации становятся хрупкими, склонными к сколам и разрушению.⠀

Как вылечить флюороз: ⠀

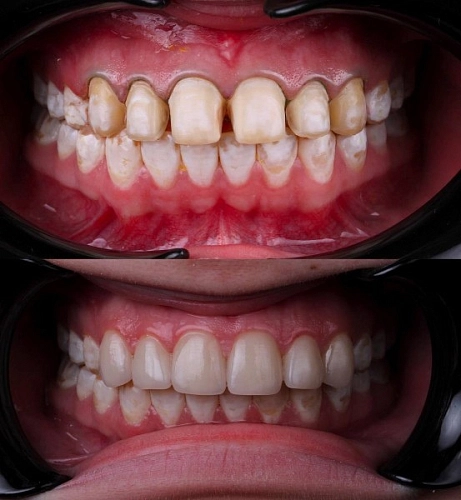
На начальном этапе проводится отбеливание, а затем назначается курс реминерализации. Возможно назначение медикаментов.⠀

При поражениях средней и тяжелой степени восстановить эмаль естественным образом уже невозможно. Вернуть зубам эстетичный вид можно при помощи композитных материалов, керамических виниров или коронок.⠀

На фото работа врача стоматолога - ортопеда Сергеевой Анастасии Сергеевной.

Записаться на консультацию можно по телефону +7(8352) 70-97-91 либо напишите нам

Просмотров: 219
Другие услуги
Консультация и диагностика
От 1000 Консультация и диагностика фото
Имплантация
От 32 500 Имплантация фото
Виниры
От 33 500 Виниры фото
Коронки
От 33 500 Коронки фото
Установка брекетов
От 45 000 Установка брекетов фото
Установка элайнеров
От 185 000 Установка элайнеров фото
Лечение зубов
От 4 000 Лечение зубов фото
Профессиональная гигиена
От 1900 Профессиональная гигиена фото