Статья #876 | Советы "Иннова Клиник"
Онлайн запись

Статья #876

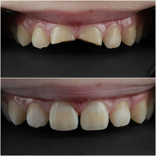
Косметическая стоматология разработана таким образом, чтобы у врача и пациента была возможность оценить результат реставрации еще до завершения лечения.

На фото клинический случай.

Пациенту 12 лет. Травма зубов была получена 4 года назад.

Было проведено:

Сканирование зубов.

Восковое моделирование  (Wax Up).

Моделирование будущей улыбки человека из специального воска.

Она дает возможность заранее увидеть новый размер и форму зубов, понять, как изменится их внешний вид после реставраций.

Заключительный этап - послойное нанесение композита.

Форма и цвет созданы посредством послойного нанесения и отверждения композита.

Микро и макрорельеф в точности, как на натуральных зубах

Работа врача Романовой Анастасии Александровны

Как вам работа доктора?

Записаться на консультацию можно по телефону +7(8352) 70-97-91 либо напишите нам

#чебоксары #фитнесчебоксары #инноваклиник #коронкачебоксары #протезированиечебоксары #протезированиейошкарола #протезированиеканаш

Просмотров: 246
Другие услуги
Консультация и диагностика
От 1000 Консультация и диагностика фото
Имплантация
От 32 500 Имплантация фото
Виниры
От 33 500 Виниры фото
Коронки
От 33 500 Коронки фото
Установка брекетов
От 45 000 Установка брекетов фото
Установка элайнеров
От 185 000 Установка элайнеров фото
Лечение зубов
От 4 000 Лечение зубов фото
Профессиональная гигиена
От 1900 Профессиональная гигиена фото