Статья #948 | Советы "Иннова Клиник"
Онлайн запись

Статья #948

Профессиональная гигиена полости рта играет ключевую роль в поддержании здоровья зубов и десен.

Регулярное посещение стоматолога для профилактических процедур поможет избежать многих проблем и сохранить здоровую улыбку на долгие годы.

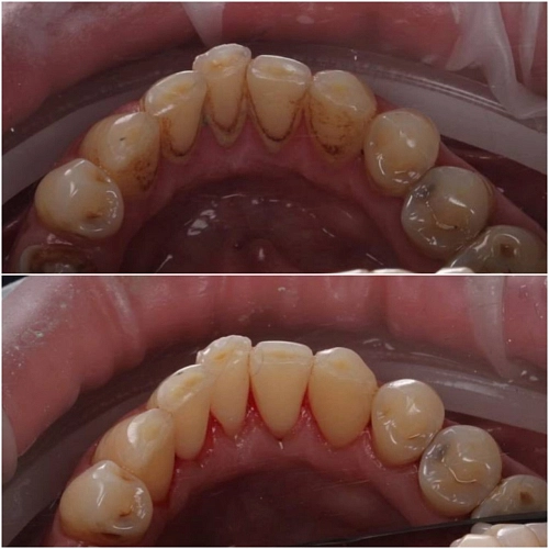
Во время этой процедуры специалист удаляет зубной налет и камень, которые накапливаются на поверхности зубов и могут привести к развитию кариозного процесса и заболеваний десен.

Также важным элементом профессиональной гигиены является фторирование зубов. Фтор помогает укрепить эмаль и предотвратить развитие кариозного процесса.

Не стоит забывать и о консультации по правильному уходу за полостью рта дома. Специалист поможет выбрать правильные средства для чистки зубов, подскажет, как правильно чистить зубы и использовать дополнительные средства гигиены, такие как зубная нить и ополаскиватели.

И помните, что забота о здоровье полости рта не только поддерживает красивую улыбку, но и оказывает положительное влияние на общее здоровье организма. Поэтому не откладывайте визит к стоматологу на потом — забота о своем улыбке должна быть постоянной и систематической!

На фото работа специалиста - гигиениста Беляковой Татьяны Юрьевны

Записаться на консультацию можно по телефону +7(8352) 70-97-91 либо напишите нам

#чебоксары #подслушаночебоксары #чебоксарыновости #новочебоксарск #афишачебоксары #стоматологчебоксары #чебоксарырекомендует

Просмотров: 241
Другие услуги
Консультация и диагностика
От 1000 Консультация и диагностика фото
Имплантация
От 32 500 Имплантация фото
Виниры
От 33 500 Виниры фото
Коронки
От 33 500 Коронки фото
Установка брекетов
От 45 000 Установка брекетов фото
Установка элайнеров
От 185 000 Установка элайнеров фото
Лечение зубов
От 4 000 Лечение зубов фото
Профессиональная гигиена
От 1900 Профессиональная гигиена фото