Статья #951 | Советы "Иннова Клиник"
Онлайн запись

Статья #951

Что в себя включает планирование будущей имплантации зубов?

Правильно проведенное планирование – залог успешной имплантации. Современный подход и новейшие технологии позволяют управлять результатом операции и выбрать наилучший ход лечения для каждого пациента индивидуально. Планирование имплантации зубов включает несколько этапов, важность которых трудно переоценить.

Консультация с хирургом- имплантологом. На консультации хирург- имплантолог оценивает ситуацию полости рта и выявляет отсутствие противопоказаний.

Хирург по данным КЛКТ (компьютерной томографии) изучает особенности строения костной ткани и прописывает план действий.  Либо это будет подготовительный этап по увеличению объёма костного ложа, либо будет планирование будущей имплантации,в ходе которой хирург будет уверен в достаточном объеме костной ткани.

Определяется необходимость  ортопедической/ ортодонтической подготовки. Во многих случаях, если зуб был ранее потерян, и прошло достаточно большое количество времени, то скорее всего произошла деформация прикуса и стоит определить все риски связанные с этим.

В случае если костная ткань готова к имплантации назначается непосредственно сама имплантация.

В нашей клинике используются несколько систем имплантатов : Straumann, Nobel, Osstem, Neobiotech.

В зависимости от сложности ситуации, типа кости врач порекомендует Вам ту или иную систему имплантатов и подготовит кость к имплантации.

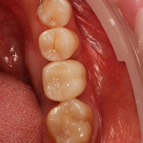
На фото работа стоматолога - хирурга Федотова Руслана Валерьевича и стоматолога - ортопеда Винокур Анастасии Александровны

Записаться на консультацию можно по телефону +7(8352) 70-97-91 либо напишите нам

Просмотров: 186
Другие услуги
Консультация и диагностика
От 1000 Консультация и диагностика фото
Имплантация
От 32 500 Имплантация фото
Виниры
От 33 500 Виниры фото
Коронки
От 33 500 Коронки фото
Установка брекетов
От 45 000 Установка брекетов фото
Установка элайнеров
От 185 000 Установка элайнеров фото
Лечение зубов
От 4 000 Лечение зубов фото
Профессиональная гигиена
От 1900 Профессиональная гигиена фото