Статья #959 | Советы "Иннова Клиник"
Онлайн запись

Статья #959

Выбор методики имплантации зубов – это важный этап, который требует индивидуального подхода и профессиональной консультации специалиста.

В зависимости от состояния полости рта и клинической картины, врач-стоматолог может рекомендовать определенный метод имплантации.

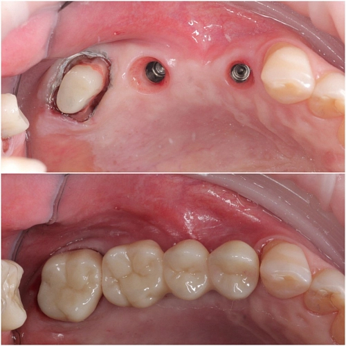
Если вам предстоит удаление зуба, то возможны следующие варианты:

Одномоментная имплантация, когда имплант устанавливается сразу после удаления зуба. В некоторых случаях он может быть немедленно протезирован или протезирование будет выполнено после интеграции импланта.

Отсроченная имплантация, которая проводится через 4-6 месяцев после удаления зуба. Здесь также возможна немедленная нагрузка или протезирование после интеграции импланта.

Если у вас длительное отсутствие зуба и не хватает костной ткани для установки импланта, может потребоваться операция по увеличению объема костной ткани, а затем уже имплантация.

При полной адентии одной или обеих челюстей есть два основных сценария:

Установка имплантов вместо каждого отсутствующего зуба после костной пластики.

Протезирование по протоколам "All-on-4" или "All-on-6" – это золотой стандарт при полной адентии. Это предусматривает установку съемного протеза на 4 или 6 имплантов.

На консультации с доктором вы сможете обсудить все возможные варианты и выбрать  наиболее подходящий для вашей ситуации план лечения.

Важно помнить, что правильный выбор методики имплантации зубов обеспечит вам красивую улыбку и комфортное состояние полости рта на долгие годы.

Записаться на консультацию можно по телефону +7(8352) 70-97-91 либо напишите нам

Просмотров: 218
Другие услуги
Консультация и диагностика
От 1000 Консультация и диагностика фото
Имплантация
От 32 500 Имплантация фото
Виниры
От 33 500 Виниры фото
Коронки
От 33 500 Коронки фото
Установка брекетов
От 45 000 Установка брекетов фото
Установка элайнеров
От 185 000 Установка элайнеров фото
Лечение зубов
От 4 000 Лечение зубов фото
Профессиональная гигиена
От 1900 Профессиональная гигиена фото