Статья #962 | Советы "Иннова Клиник"
Онлайн запись

Статья #962

Поменялся цвет зуба? 

Дисколорит зубов – это не только загадочное слово из стоматологии, но и реальная проблема, с которой многие сталкиваются. Итак, что же делать, если ваш зуб вдруг решил сменить свой цвет?

Изменение цвета одного зуба или нескольких зубов в стоматологии называется дисколоритом.

Дисколорит зубов может быть внешним или внутренним.

Внешний дисколорит чаще всего вызван употреблением пигментированных продуктов, курением, недостаточной гигиеной полости рта.

Внутренний дисколорит может быть обусловлен травмами зубов, ранее проведеным лечением канала, генетической предрасположенностью, приемом определенных медикаментов и другими причинами.

Часто при внутреннем дисколорите отбелить эмаль не удается, так что лучшим решением будет установка винира или коронки.

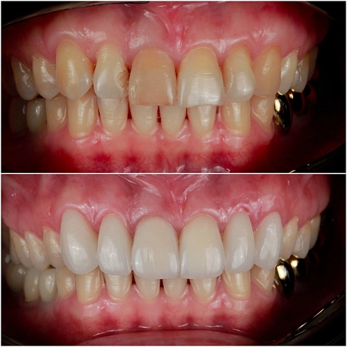
На фото работа врача стоматолога - ортопеда Сергеевой Анастасии Сергеевны.

Проведено отбеливание зубов и установка виниров.

А вы сталкивались с таким явлением?

Просмотров: 218
Другие услуги
Консультация и диагностика
От 1000 Консультация и диагностика фото
Имплантация
От 32 500 Имплантация фото
Виниры
От 33 500 Виниры фото
Коронки
От 33 500 Коронки фото
Установка брекетов
От 45 000 Установка брекетов фото
Установка элайнеров
От 185 000 Установка элайнеров фото
Лечение зубов
От 4 000 Лечение зубов фото
Профессиональная гигиена
От 1900 Профессиональная гигиена фото