Статья #999 | Советы "Иннова Клиник"
Онлайн запись

Статья #999

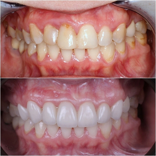
Создание естественных и незаметных виниров - это искусство, требующее опыта и профессионализма.

Врач должен учесть множество факторов, таких как форма и цвет зубов, анатомия полости рта и лица пациента, а также его индивидуальные предпочтения.

Важно, чтобы врач провел детальную консультацию с пациентом, чтобы понять его ожидания и предоставить рекомендации по дизайну виниров.

Только после этого врач проводит тщательную подготовку зубов, удаляя тонкий слой эмали, чтобы обеспечить пространство для виниров.

Создание прозрачности и микрорельефа на поверхности виниров - это один из ключевых аспектов работы. Они придают зубам естественный вид, делая их более похожими на естественные зубы. Это требует мастерства и опыта, чтобы достичь правильной текстуры и оттенка.

Одним из главных преимуществ виниров является их способность трансформировать улыбку пациента, придавая зубам естественный и привлекательный вид. Кроме того, они обладают высокой стойкостью и долговечностью при правильном уходе.

Записаться на консультацию можно по телефону +7(8352) 70-97-91 либо напишите нам

Просмотров: 218
Другие услуги
Консультация и диагностика
От 1000 Консультация и диагностика фото
Имплантация
От 32 500 Имплантация фото
Виниры
От 33 500 Виниры фото
Коронки
От 33 500 Коронки фото
Установка брекетов
От 45 000 Установка брекетов фото
Установка элайнеров
От 185 000 Установка элайнеров фото
Лечение зубов
От 4 000 Лечение зубов фото
Профессиональная гигиена
От 1900 Профессиональная гигиена фото