- Главная
-
Пациентам
- Примеры работ
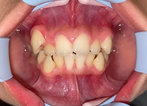
- Сужение зубных дуг обеих челюстей
Сужение зубных дуг обеих челюстей
- Установка брекетов
Акции и скидки на лечение в Иннова Клиник
Смотреть все акции
Именинникам скидка 15% в течение 14 дней после дня рождения
Программа лояльности Иннова Клиник
Cкидка 5000 ₽ на имплантацию и 20% на КТ зубов
Скидка 10% при имплантации
3-х имплантов
Пенсионерам скидка 5% при предъявлении пенсионного удостоверения
Скидка 20% на гигиену для пациентов, делающих гигиену каждые полгода и чаще
Подписчикам нашей страницы ВКонтакте скидка 3%
Запишитесь на первичную консультацию
Составим план лечения и подберем врача
Нажимая кнопку «Записаться», вы даете свое согласие на обработку персональных данных
