- Главная
-
Пациентам
- Примеры работ
- Тотальное преображение улыбки: 28 виниров и коронок
Тотальное преображение улыбки: 28 виниров и коронок
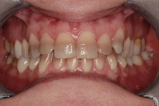
Перед врачом стояла задача: сделать новую, естественную улыбку, повторить природную эстетику зубов. Мы создали дизайн улыбки, примерили будущие реставрации в полости рта и внесли корректировки. Пациентка осталась довольна, мы изготовили 28 керамических виниров и коронок, зафиксировали их. На все понадобилось 6 визитов.
Возможности виниров
Тут все просто, нам понадобилось 6 приемов в течении 12 дней
- Консультация с составлением плана лечения
- Препарирование верхней группы зубов с изготовлением временных виниров
- Препарирование нижней группы зубов с изготовлением временных виниров
- Фиксация виниров на зубы верхней челюсти
- Фиксация виниров на зубы нижней челюсти
- Контрольный осмотр
Состояние десны на следующий день после фиксации нижних керамических реставраций. Цвет Bl3
Срок службы таких реставраций от 15 лет при соблюдении рекомендаций врача (ничего сложного, просто регулярная и качественная гигиена). Цельнокерамические реставрации не темнеют и не впитывают пищевые красители. Улыбка будет такая же яркая спустя 5-10 и более лет после фиксации.
- Имплантация
- Виниры
- Длительность лечения 2 недели
- Стоимость 85 000
Винокур Анастасия
Александровна
Андреев Димитрий
Петрович
Акции и скидки на лечение в Иннова Клиник
Смотреть все акции
Именинникам скидка 15% в течение 14 дней после дня рождения
Программа лояльности Иннова Клиник
Cкидка 5000 ₽ на имплантацию и 20% на КТ зубов
Скидка 10% при имплантации
3-х имплантов
Пенсионерам скидка 5% при предъявлении пенсионного удостоверения
Скидка 20% на гигиену для пациентов, делающих гигиену каждые полгода и чаще
Подписчикам нашей страницы ВКонтакте скидка 3%
Запишитесь на первичную консультацию
Составим план лечения и подберем врача
Нажимая кнопку «Записаться», вы даете свое согласие на обработку персональных данных
