Блог


С Международным днем врача!


7 преимуществ керамических виниров


Вызывает ли отбеливание зубов чувствительность ?


Какой инструмент исправления прикуса выбрать


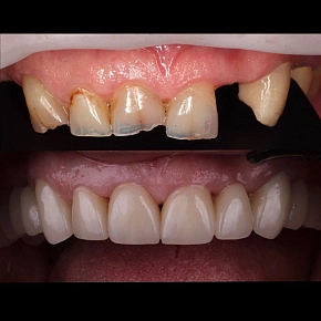
Клинический случай: Тотальное восстановление зубов


Если вы испытываете острую боль в зубе или десне


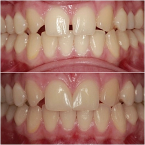
Ортодонтическая коррекция прикуса с помощью элайнеров


Современная стоматология: забота о вашем здоровье


Статья #1069


Статья #1068


Статья #1067


Статья #1063


Статья #1062


Статья #1061

