Блог


Сохранение зубов — основной приоритет стоматологии


Консультация — это не просто осмотр полости рта с помощью зеркала и зонда


Компрессия в височно-нижнечелюстном суставе


Угол наклона импланта при установке критически важен


Что делать, если потерян зуб


Почему зубы начинают шататься?


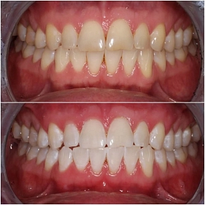
Неправильный прикус и ускоренный износ эмали


Регулярные стоматологические осмотры


Микроскоп в стоматологии


Чувствительность зубов может возникать не только из-за кариеса.


Коронка на импланте: какие виды бывают и как выбрать?


Ваше мнение ценно для нас


Когда и какие зубы прорезываются у малышей?


Укрепление зубов без нервов с помощью коронки

