Очередное До/После | Советы "Иннова Клиник"
Онлайн запись

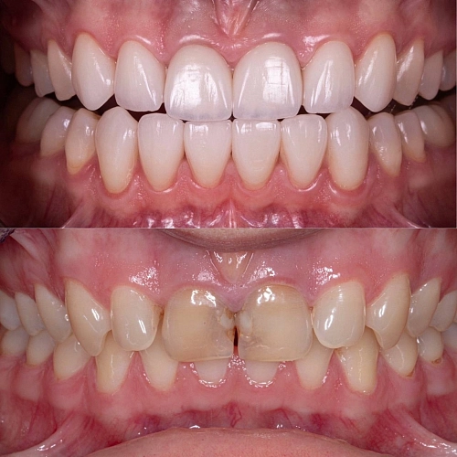
Очередное До/После

▎ Очередное До/После

Один из способов сделать вашу улыбку безупречной — установка виниров!

Преимущества виниров:

Долговечность. Современные виниры изготавливаются с использованием передовых технологий, что обеспечивает их прочность и надежность, снижая риск сколов.

Эстетика. Виниры гармонично смотрятся на фоне натуральных зубов, обладают привлекательным внешним видом и прозрачностью, схожими с естественной эмалью.

Гипоаллергенные материалы. Виниры изготавливаются из биосовместимых веществ, безопасных для человеческого организма.

Легкость в уходе. На поверхности виниров не образуется зубной налет.

Сохранение цвета. Виниры не теряют своего привлекательного оттенка под воздействием кофе, красного вина или крепкого чая.

Защита зубов. Они защищают от температурных изменений, царапающих частиц пищи, а также от кислоты и сахара.

Недостатки:

Несмотря на свою прочность, керамические виниры требуют аккуратного обращения. Грубые механические воздействия или неосторожные укусы могут привести к их повреждению.

Поэтому не рекомендуется грызть твердые предметы.

Как видно, плюсов больше, чем минусов, особенно при наличии показаний:

Сколы, трещины и неровности на эмали

Межзубные промежутки

Изменение цвета эмали

Неправильная форма зубов

Неровный зубной ряд

На фото представлена работа доктора Винокур Анастасии Александровны

Винокур Анастасия Александровна
Винокур Анастасия Александровна

Одобрено

·

Ортопед

Записаться на прием
Просмотров: 194
Другие услуги
Консультация и диагностика
От 1000 Консультация и диагностика фото
Имплантация
От 32 500 Имплантация фото
Виниры
От 33 500 Виниры фото
Коронки
От 33 500 Коронки фото
Установка брекетов
От 45 000 Установка брекетов фото
Установка элайнеров
От 185 000 Установка элайнеров фото
Лечение зубов
От 4 000 Лечение зубов фото
Профессиональная гигиена
От 1900 Профессиональная гигиена фото