Имплант установлен, а когда же ждать коронку? | Советы "Иннова Клиник"
Онлайн запись

Имплант установлен, а когда же ждать коронку?

Имплант установлен, а когда же ждать коронку?

Давайте разберемся!

Обычно коронку устанавливают через 3-4 месяца после имплантации. Но почему такая задержка?

Это время необходимо для того, чтобы имплантат прижился и костная ткань надежно вросла в имплантат. Также важно, чтобы десна зажила, а лунка под коронку сформировалась с помощью формирователя десны .

Когда имплантат успешно прижился и лунка готова, можно переходить к установке коронки!

Ортопед сделает слепок, подберет идеальный цвет будущей коронки и отправит его на изготовление .

После этого пройдет примерка и фиксация!

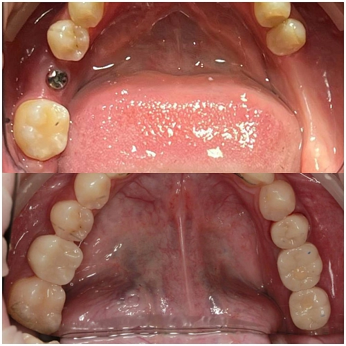
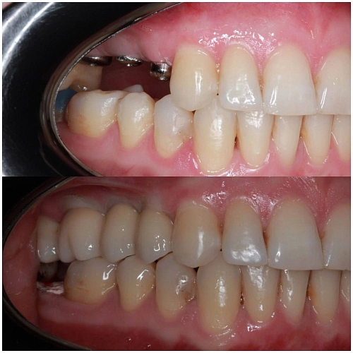
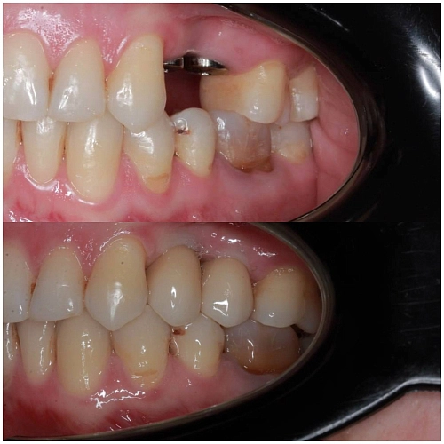
На фото работа врача-ортопеда Андреева ДП

Записаться на консультацию можно по телефону +7(8352) 70-97-91 или напишите нам

Сергеева Анастасия Сергеевна
Сергеева Анастасия Сергеевна

Одобрено

·

Ортопед

Записаться на прием
Просмотров: 308
Другие услуги
Консультация и диагностика
От 1000 Консультация и диагностика фото
Имплантация
От 32 500 Имплантация фото
Виниры
От 33 500 Виниры фото
Коронки
От 33 500 Коронки фото
Установка брекетов
От 45 000 Установка брекетов фото
Установка элайнеров
От 185 000 Установка элайнеров фото
Лечение зубов
От 4 000 Лечение зубов фото
Профессиональная гигиена
От 1900 Профессиональная гигиена фото