Отбеливание зубов с помощью Philips Zoom White Speed | Советы "Иннова Клиник"
Онлайн запись

Отбеливание зубов с помощью Philips Zoom White Speed

Оглавление

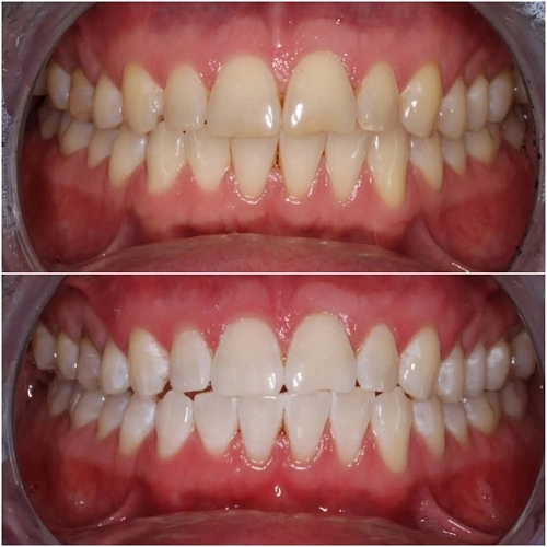
Отбеливание зубов с помощью Philips Zoom White Speed — это один из самых эффективных клинических методов, который зарекомендовал себя на практике.

Что выделяет Philips Zoom White Speed (ZOOM 4) среди других способов? Это бережное отношение к зубной эмали и минимальная вероятность возникновения гиперчувствительности после процедуры.


Уникальный гель, используемый в процессе, эффективно разрушает пигменты на эмали, позволяя достичь осветления до 10 тонов!


Наши специалисты с удовольствием доверяют эту систему своим пациентам.


В нашей клинике мы гарантируем полную безопасность и максимальный результат от процедуры отбеливания.


Записаться на консультацию можно по телефону +7(8352) 70-97-91 или просто напишите нам

Брачева Александра Игоревна
Брачева Александра Игоревна

Одобрено

·

Гигиенист

Записаться на прием
Просмотров: 796
Другие услуги
Консультация и диагностика
От 1000 Консультация и диагностика фото
Имплантация
От 32 500 Имплантация фото
Виниры
От 33 500 Виниры фото
Коронки
От 33 500 Коронки фото
Установка брекетов
От 45 000 Установка брекетов фото
Установка элайнеров
От 185 000 Установка элайнеров фото
Лечение зубов
От 4 000 Лечение зубов фото
Профессиональная гигиена
От 1900 Профессиональная гигиена фото