Укрепление зубов без нервов с помощью коронки | Советы "Иннова Клиник"
Онлайн запись

Укрепление зубов без нервов с помощью коронки

Оглавление

Укрепление зубов без нервов с помощью коронки

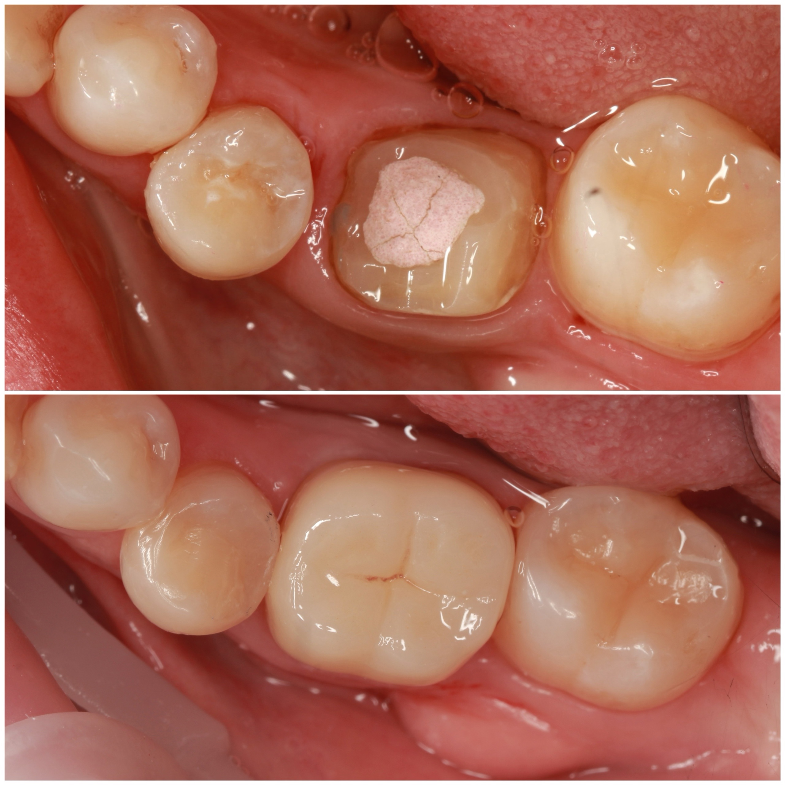
Недавно к нам в клинику обратился пациент, который испытывал беспокойство из-за больших пломб на своих зубах. Такие пломбы могут быть уязвимыми и подвержены повреждениям. Более того, зубы были без нерва, что увеличивало риск их разрушения.

Почему большие пломбы и зубы без нерва могут сколоться?

1. Структурная слабость: Большие пломбы занимают значительную часть зуба и могут ослабить его структуру. Это делает зуб более подверженным повреждениям при жевании или травмах.

2. Отсутствие нерва: Зубы без нерва теряют свою естественную защиту. Нерв не только отвечает за чувствительность, но и играет роль в питании зуба. Без него зуб становится более хрупким и уязвимым к трещинам и сколам.

3. Нагрузки на зуб: При жевании на зубы действуют значительные нагрузки. Если зуб уже имеет большие пломбы или поврежден, он может не выдержать этих нагрузок и сломаться.

В результате осмотра доктор предложил установить коронку на проблемный зуб. Коронка — это надежное решение, которое укрепляет зуб и восстанавливает его форму. Она распределяет нагрузку равномерно и защищает оставшуюся часть зуба от дальнейших повреждений.

Преимущества коронки:

• Укрепление: Коронка значительно усиливает зуб, делая его более устойчивым к нагрузкам.

• Эстетика: Современные коронки выглядят естественно и гармонично вписываются в улыбку.

• Долговечность: Коронки из качественных материалов служат долго и не требуют частой замены

Если у вас есть большие пломбы или вы беспокоитесь о здоровье своих зубов, не откладывайте визит к стоматологу!

На фото работа врача стоматолога-ортопеда Сергеевой Анастасии Сергеевны

Записаться на консультацию можно по телефону +7(8352)70-97-91 либо напишите нам

Сергеева Анастасия Сергеевна
Сергеева Анастасия Сергеевна

Одобрено

·

Ортопед

Записаться на прием
Просмотров: 687
Другие услуги
Консультация и диагностика
От 1000 Консультация и диагностика фото
Имплантация
От 32 500 Имплантация фото
Виниры
От 33 500 Виниры фото
Коронки
От 33 500 Коронки фото
Установка брекетов
От 45 000 Установка брекетов фото
Установка элайнеров
От 185 000 Установка элайнеров фото
Лечение зубов
От 4 000 Лечение зубов фото
Профессиональная гигиена
От 1900 Профессиональная гигиена фото