Блог


Возможно ли сохранить молодость зубов до 60 лет?


ИННОВА КЛИНИК - команда опытных квалифицированных специалистов


Сохраняйте пост, чтобы не потерять


Как уберечь от кариеса молочные зубы


Сталкивались с неприятной проблемой потемнения зубной эмали?


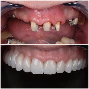
Красивая улыбка наших пациентов – залог успеха!


Разрушительный миф о зубном камне: он не защищает, а вредит!


Зубосохраняющая реставрация


Почему мы не удаляем зубы под общим наркозом?


У нас отличная новость


Имплантация All-on-4 vs. All-on-6


Клинический случай лечения глубокого кариеса


В нашей клинике активно применяются 3D-технологии


ПРИРОДА НЕ ТЕРПИТ «ПУСТОГО» МЕСТА

