Блог


Новогодние праздники — это волшебное время семейного уюта


Эндодонтия — это не просто залечивание корневого канала.


Можно ли установить брекет-систему только на одну челюсть?


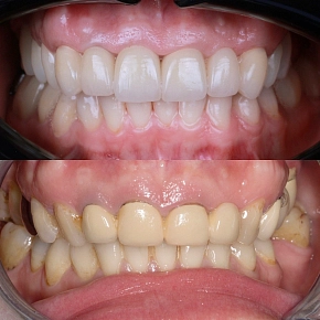
Почему мы используем систему Philips Zoom White Speed ?


Восстановление сильно разрушенного зуба световым композитным материалом


С наступающим Новым годом!


Важность своевременного профилактического осмотра


Сложный случай эндодонтического лечения: Спасение зуба!


Скоро наступят долгожданные новогодние праздники и выходные !


Микроскоп — это настоящая суперсила стоматолога


Гипоплазия эмали: это не приговор!


Зачем зубам нервы?


Стискивание и скрежетание зубов: это нормально?


Можно ли удалить все зубы мудрости одновременно?

