Блог


Улыбка вашей мечты теперь доступна!


Идеальный подарок для вашей второй половинк


Как приучить малыша к регулярной гигиене зубов?


Антивозрастная стоматология


5 устаревших стоматологических процедур


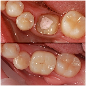
Клинический случай


Что происходит, если отсутствует хотя бы один зуб?


Молочные зубы: что необходимо знать каждому родителю?


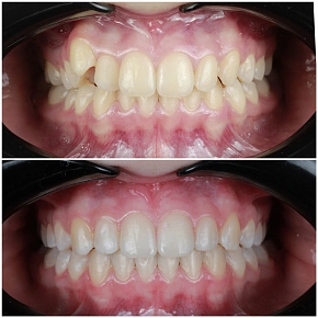
Лечение на элайнерах


Цель: найти и обезвредить


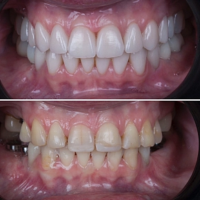
Исправление прикуса брекетами с каждым годом набирает популярность


Как подбирается форма будущих виниров?


Нужен ли профилактический осмотр зубов


Почему у ребенка долго не выпадают молочные зубы?

