Блог


Как правильно чистить зубы?


Почему мы выбираем систему Philips Zoom White Speed


Сложное удаление зуба


Отбеливание зубов системой Philips Zoom White Speed


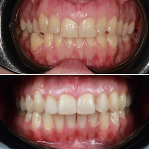
Кривые молочные зубы: нужно ли выравнивать?


Почему избыток зубной пасты вреден для здоровья зубов?


Технологии в современной стоматологии


Налет на зубах при приеме антибиотиков


Можно ли восстановить зубы кальцием с помощью еды и витаминов


Этапы лечения


Какую зубную нить выбрать?


УДАЛИЛИ ЗУБ? ЧТО ВАЖНО ЗНАТЬ


Сода: друг или враг для зубов ?


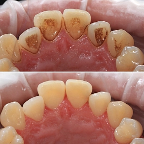
Профессиональная гигиена зубов

