Блог


Как защитить зубы, даже если у вас «плохая» генетика?


Зубы мудрости, незаметная угроза


Преобразите свою улыбку с передовыми технологиями!


Как полюбить чистить зубы: советы для родителей


Удаление зуба мудрости


Брекеты: Больно ли их носить?


Идеальная зубная паста


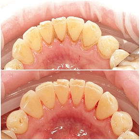
Профилактика кариеса


Тотальная реабилитация


Подготовка к имплантации


Тотальное восстановление зубов


Миофункциональная коррекция


Каппы


Как долго продлится боль после удаления?

