Сколько имплантов можно установить за один раз? | Советы "Иннова Клиник"
Онлайн запись

Сколько имплантов можно установить за один раз?

Оглавление

Сколько имплантов можно установить за один раз?

Нет никаких ограничений по количеству устанавливаемых за один визит имплантатов, даже если недостающие зубы расположены с разных сторон челюсти.

В этом случае пациенту придётся перенести только один период реабилитации, принимать один курс препаратов .

Пациент быстрее придёте в норму, а главное — сократится длительность лечения.

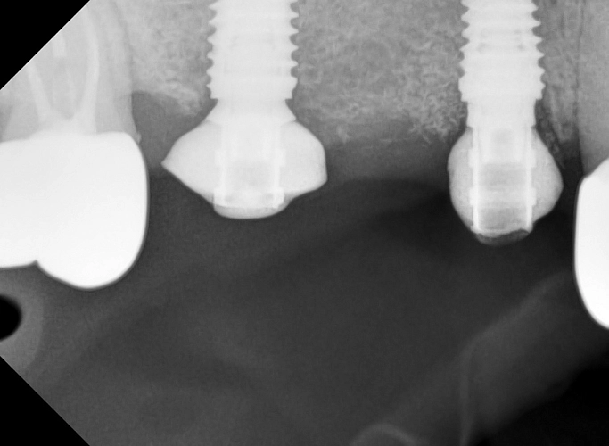
На фото проведена комплексная имплантация двух жевательных зубов стоматологом -хирургом Федотовым Р.В.

Федотов Руслан Валерьевич
Федотов Руслан Валерьевич

Одобрено

·

Стоматолог-хирург

Записаться на прием
Просмотров: 1043
Другие услуги
Консультация и диагностика
От 1000 Консультация и диагностика фото
Имплантация
От 32 500 Имплантация фото
Виниры
От 33 500 Виниры фото
Коронки
От 33 500 Коронки фото
Установка брекетов
От 45 000 Установка брекетов фото
Установка элайнеров
От 185 000 Установка элайнеров фото
Лечение зубов
От 4 000 Лечение зубов фото
Профессиональная гигиена
От 1900 Профессиональная гигиена фото