Успешное ортодонтическое лечение | Советы "Иннова Клиник"
Онлайн запись

Успешное ортодонтическое лечение

Оглавление

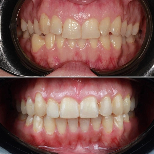
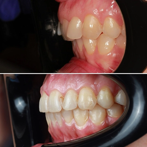
Успешное ортодонтическое лечение с брекет-системой Damon Q!

Эта система известна своей эффективностью и комфортом, что делает процесс коррекции зубного ряда более приятным.

В начале лечения у пациента была сложная ситуация, требующая тщательной коррекции прикуса. Первоначально планировалось использовать минивинты для достижения оптимального результата. Однако благодаря четкому выполнению всех рекомендаций и активному сотрудничеству пациента нам удалось добиться отличных результатов без необходимости в дополнительных вмешательствах!

После завершения ортодонтического лечения мы достигли значительного улучшения как эстетики, так и функции зубов. Тем не менее, для полного восстановления улыбки требуется выполнение реставраций утраченной эмали. Это важный шаг, который поможет не только восстановить привлекательный внешний вид зубов, но и защитить их от дальнейших повреждений.

На фото работа воача-ортодонта Глуховой Татьяны
Глухова Татьяна Александровна
Глухова Татьяна Александровна

Одобрено

·

Стоматолог - ортодонт

Записаться на прием
Просмотров: 1252
Другие услуги
Консультация и диагностика
От 1000 Консультация и диагностика фото
Имплантация
От 32 500 Имплантация фото
Виниры
От 33 500 Виниры фото
Коронки
От 33 500 Коронки фото
Установка брекетов
От 45 000 Установка брекетов фото
Установка элайнеров
От 185 000 Установка элайнеров фото
Лечение зубов
От 4 000 Лечение зубов фото
Профессиональная гигиена
От 1900 Профессиональная гигиена фото